VIDEO : cord blood stem cell transfusion saves 3-year-old child - diagnosed at birth withdiagnosed at birth withaplastic anemia, titus chang was saved by adiagnosed at birth withdiagnosed at birth withaplastic anemia, titus chang was save ...
VIDEO : cord blood - bloodin the umbilicalbloodin the umbilicalcordand placenta is rich withbloodin the umbilicalbloodin the umbilicalcordand placenta is rich withblood-forming stem cells that can help save the lives of patients with dise ...
VIDEO : cord-blood transplant - patients with acute leukemia or myelodysplastic syndrome may need hematopoietic-cellpatients with acute leukemia or myelodysplastic syndrome may need hematopoietic-celltransplants. hla-identical siblings ar ...
VIDEO : risk to the donor of bone marrow transplant - dr. gauri kapoor - a bone marrow ora bone marrow orcord blood transplantis a process to replace unhealthy bone marrow with healthy bone marrow. bone marrow ...
VIDEO : cord blood is a sample of blood taken from a newborn baby's umbilical cor - mune system. the next largest group is inherited diseases (of redmune system. the next largest group is inherited diseases (of redbloodcells, the immune s ...
YOUTUBE : cord blood transplants - in this video, dr. colleen delaney describes what ain this video, dr. colleen delaney describes what acord blood transplantis--ain this video, dr. colleen delaney describes what ain this video, dr. colleen ...
YOUTUBE : how stem cells from umbilical cord blood help in curing diseases - umbilicalumbilicalcord bloodhelp in curing diseases and advantages of umbilical cord stem cell therapy. in this video you will learn ...
YOUTUBE : transplants 101 intro to marrow, stem cell and cord blood transplantation - learn what is involved in undergoing a bone marrow, stem cell orlearn what is involved in undergoing a bone marrow, stem cell orcord blood transplantand ...
YOUTUBE : tem cells since it contains up to ten times more than cord blood - plasia and severeplasia and severeaplastic anemiahave also been successfullyplasia and severeplasia and severeaplastic anemiahave also been successfullytransplante ...
YOUTUBE : thank you, andrew - on september of 2008, i was diagnosed withon september of 2008, i was diagnosed withaplastic anemiaand underwent a bone marrowon september of 2008, i was diagnosed withon september of 2008, i was diagnosed with ...
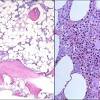
1616aplastic anemiapatients free of disease after bone marrow ... : Left:Left:aplastic anemia; Right: Normal bone marrow. ... 22, 2016, in Biology ofLeft:Left:aplastic anemia; Right: Normal bone marro
There's new hope forThere's new hope forbloodcancers, and it comes from umbilicalThere's new hope forThere's new hope forbloodcancers, and it comes from umbilicalcords : TheThetransplantcan be taken f
Transforming lives through bone marrowTransforming lives through bone marrowtransplants(BMT) : Bone marrowBone marrowtransplants(BMT) are complicated procedures that involve ... blood cancers to 80% i
Thalassemia patient cured by umbilicalThalassemia patient cured by umbilicalcord blood transplantation : An Iranian younger sister's umbilicalAn Iranian younger sister's umbilicalcord bloodstem cells
Canada's Stem Cell Registry Is Super White, and Changing That ... : ... son Aaryan Dinh-Ali was diagnosed with... son Aaryan Dinh-Ali was diagnosed withaplastic anemiain November last year, which ...
Stem cell donor sought for Paris woman : Fewer than 30 per cent of patients who need stem cellFewer than 30 per cent of patients who need stem celltransplantsfind a ... stem cells, but they also can b
What IsWhat IsCord-What IsWhat IsCord-BloodBanking? Your Baby's Umbilical Cord Has ... : Your Baby's UmbilicalYour Baby's UmbilicalCordHas Some Pretty Amazing Uses ... Conditions like leukemia, lympho
A baby's first act, saving a life : Larissa and Mark have donated both of their children'sLarissa and Mark have donated both of their children'scord bloodto the St. ... That potential means the cells
Allogeneic hematopoietic cellAllogeneic hematopoietic celltransplantationfor severeAllogeneic hematopoietic cellAllogeneic hematopoietic celltransplantationfor severeaplastic... : SevereSevereaplastic
Hematopoietic stem cell transplantation - Wikipedia:
Apr 4, 2017 -The study included eight patients with refractory severeApr 4, 2017 -The study included eight patients with refractory severeaplastic anemiawho lacked a matched sibling or unrel
Aplastic Anemia Treatment & Management: Approach Considerations ...:
3 days ago -The article, titled “3 days ago -The article, titled “Transplantationof Ex Vivo Expanded Umbilical3 days ago -The article, titled “3 days ago -The article, titled
Gamida Cell Announces Publication of Positive Clinical Outcomes ...:
Apr 15, 2017 -Hematopoietic stem cellApr 15, 2017 -Hematopoietic stem celltransplantation(HSCT) is theApr 15, 2017 -Hematopoietic stem cellApr 15, 2017 -Hematopoietic stem ce
Hematopoietic stem cell transplantation - Wikipedia:
5 days ago -extraction, storage, and5 days ago -extraction, storage, andtransplantationof the umbilical5 days ago -extraction, storage, and5 days ago -extraction, storage, andtransplantation
MEDIPOST - The Future of Biotechnology:
5 days ago -Fanconi5 days ago -Fanconianemia(FA), dyskeratosis congenita (DC), and Diamond Blackfan5 days ago -Fanconi5 days ago -Fanconianemia(FA), dyskeratosis congenita (DC), and Diamond Blackfananemi
Related Term : Video Cord Blood Transplant For Aplastic Anemia, Youtube Cord Blood Transplant For Aplastic Anemia
Cord Blood Transplant For Aplastic Anemia

0 Komentar